Implantologia

Tecnologia e precisione per un sorriso completo

Che cos’è l’implantologia?

L’implantologia è la branca dell’odontoiatria che si occupa di sostituire i denti mancanti con radici artificiali in titanio inserite direttamente nell’osso della mandibola o della mascella, attraverso un processo noto come osteointegrazione

L’impianto dentale, una volta inserito, si integra con l’osso circostante tramite un processo biologico detto osteointegrazione, che garantisce una connessione solida e duratura. Su questa base vengono poi applicate corone, ponti o protesi, restituendo al paziente la possibilità di masticare correttamente, parlare senza difficoltà e sorridere con fiducia.

risultato Studio dentistico Tanas a palo del colle

Come funziona l’intervento?

  • Valutazione iniziale: analisi clinica e radiologica approfondita (Tac o CBCT) per verificare la quantità e qualità dell’osso
  • Inserimento dell’impianto: è una procedura chirurgica minimamente invasiva in anestesia locale.

  • Osteointegrazione: l’impianto si unisce biologicamente all’osso nell’arco di alcune settimane o mesi

  • Posizionamento della protesi: una protesi fissa (corona o ponte) viene applicata sull’impianto, ripristinando estetica e funzionalità del dente

Perché scegliere gli impianti dentali?

Vantaggi per il paziente

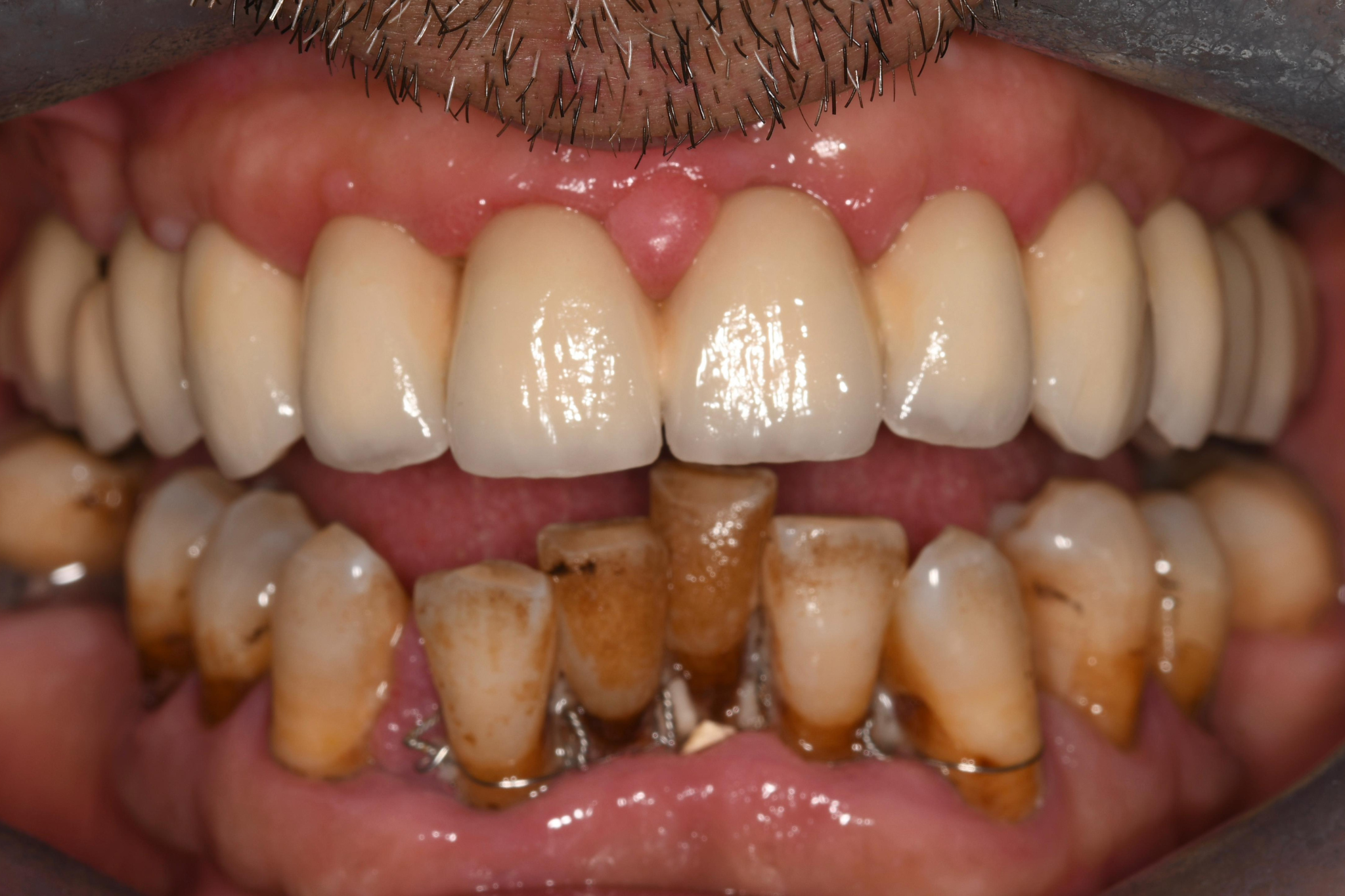
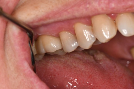
Impianto Studio dentistico Tanas a palo del colle
denti Studio dentistico Tanas a palo del colle

Tipologie di impianti per ogni esigenza

Impianto singolo

Ponte di denti

Arcata completa

Impianto singolo con Carico immediato

Questa tecnica permette di inserire un impianto e posizionare la protesi provvisoria nella stessa seduta, riducendo i tempi di attesa. Il paziente ritrova subito estetica e funzionalità, senza dover aspettare mesi prima di avere il dente definitivo.

Impianto dentale
Impianto dentale

Implantologia computer guidata con dima chirurgica​

Grazie alle moderne tecnologie digitali, l’inserimento degli impianti può essere pianificato in maniera virtuale. Con l’ausilio della dima chirurgica, il posizionamento è estremamente preciso, riducendo il rischio di errori e garantendo un intervento minimamente invasivo.

Full arch su 4/5/6 impianti a carico immediato​

Per i pazienti edentuli o con denti gravemente compromessi è possibile riabilitare un’intera arcata su soli 4, 5 o 6 impianti. In poche ore viene inserita una protesi fissa provvisoria, che in seguito sarà sostituita con quella definitiva. Questo approccio consente di tornare a sorridere e masticare subito, senza lunghe attese.

impianto dentale
Impianto dentale

Implantologia avanzata per pazienti con poco o zero osso​

Nei casi complessi, dove l’osso mascellare è ridotto, si possono utilizzare tecniche avanzate come l’impianto pterigoideo o l’impianto zigomatico. Queste soluzioni evitano procedure di rigenerazione ossea importanti, permettendo comunque l’inserimento di una protesi fissa stabile e duratura.

Materiali delle protesi full arch

Le protesi definitive su impianti possono essere realizzate con diverse combinazioni di materiali. Le più diffuse sono:

 

Titanio e composito

Titanio e zirconia

utensili Studio dentistico Tanas a palo del colle
Studio dentistico Tanas a palo del colle

Fotogrammetria intraorale

La fotogrammetria intraorale è una tecnica innovativa che permette di rilevare con estrema precisione la posizione degli impianti dentali attraverso l’utilizzo di speciali scanner e telecamere.
Grazie a questa tecnologia, è possibile ottenere un modello digitale 3D della bocca del paziente, senza ricorrere a impronte tradizionali invasive o fastidiose.

Questo sistema consente:

  • una precisione millimetrica nella rilevazione della posizione degli impianti;

  • una maggiore comodità per il paziente, evitando paste da impronta;

  • una riduzione dei tempi di lavoro in studio e in laboratorio;

  • una qualità superiore delle protesi, che si adattano perfettamente alla bocca.

La fotogrammetria rappresenta quindi un passo in avanti nella moderna implantologia, garantendo risultati più affidabili, confortevoli e duraturi.